熱線:021-66110810,66110819
手機:13564362870

熱線:021-66110810,66110819
手機:13564362870
結果
心肌細胞表達CSE并產生H2S
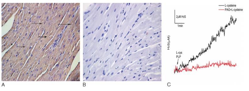
圖1心肌中γ半胱氨酸裂解酶(CSE)的表達和硫化氫(H2S)的生成。A:左心室心肌的代表性CSE免疫染色。如箭頭所示,染色主要定位于心肌細胞。B:陰性對照:CSE被過量10倍的阻斷肽預吸收。C:心肌勻漿中H2S生成的代表性痕跡。在添加或不添加CSE抑制劑D,L-丙炔基甘氨酸(PAG)的情況下,通過添加L-半胱氨酸(L-cys)和磷酸吡哆醛(PLP)啟動H2S生成。
CSE染色主要定位于心肌細胞(圖1A,B)。用過量多肽預吸收一抗后,染色消失,從而證實了抗體的特異性。
如圖1C所示,加入L-半胱氨酸后,心肌勻漿能產生H2S。CSE抑制劑D,L-丙炔甘氨酸阻斷了H2S的產生。
E2治療可增加卵巢切除大鼠心肌中CSE的表達和H2S的生成
表1 12周實驗后的體重和E2水平
經卵巢切除術驗證,血清E2水平顯著降低,體重增加,子宮重量減少(表1)。E2治療可逆轉OVX引起的變化。
圖2 17β-雌二醇(E2)療法對卵巢切除大鼠心肌中γ半胱氨酸裂解酶(CSE)表達和硫化氫(H2S)生成的影響。A、B:卵巢切除(OVX)組和OVX-E2組大鼠心肌中CSE信使RNA(mRNA)和蛋白水平以及H2S生成率。CSE mRNA和蛋白質(A)的水平分別通過定量實時逆轉錄聚合酶鏈反應和Western印跡分析測定。H2S生成率(B)通過實時H2S生成分析測定。用安慰劑治療的卵巢切除大鼠作為對照組。C:H2S生成率與血清E2水平的相關性。采用皮爾遜相關分析E2水平與H2S生成率之間的關系。GAPDH:3-磷酸甘油醛脫氫酶。
E2療法提高了CSE mRNA和蛋白水平(與單獨OVX相比,mRNA和蛋白水平分別為P<0.05和P<0.01;圖2A)。E2治療增加了H2S生成率(與單純OVX相比,P<0.05;圖2B)。
H2S生成率與血清E2水平呈正相關(R2=0.808,P小于0.01;圖2C)。
E2治療對氧化狀態的影響
圖3 17β-雌二醇(E2)療法對卵巢切除大鼠心肌氧化狀態的影響。A-D:還原型谷胱甘肽/氧化型谷胱甘肽(GSH/GSSG)比率、總抗氧化能力(T-AOC)、過氧化氫酶(CAT)活性和超氧化物歧化酶(SOD)活性。E-H:E2水平與抗氧化生物標志物之間的相關性。采用皮爾遜相關分析E2水平與GSH/GSSG比率的相關性(E)、E2水平與T-AOC的相關性(F)、E2水平與CAT的相關性(G)以及E2水平與SOD的相關性(H)。
E2療法提高了GSH/GSSG比值以及T-AOC、CAT和SOD的水平(GSH/GSSG比值、CAT活性和SOD活性P<0.05;T-AOC水平與單純OVX相比P<0.01;圖3A-D)。血清E2水平與GSH/GSSG比率以及T-AOC、CAT和SOD水平呈正相關(圖3E-H)。
E2治療對促炎細胞因子的影響
圖4 17β-雌二醇(E2)療法對卵巢切除大鼠心肌中促炎細胞因子水平的影響。A、B:心肌中白細胞介素-6(IL-6)和腫瘤壞死因子-α(TNF-α)的水平。通過酶聯免疫吸附試驗測定IL-6和TNF-α的水平。C、D:血清E2濃度與心肌IL-6或TNF-α水平的相關性。用皮爾遜相關分析E2水平與IL-6的相關性(C)和E2水平與TNF-α的相關性(D)。
E2治療降低了心肌中IL-6和TNF-α的水平(P<0.05 vs OVX單藥;圖4A、B)。血清E2濃度與心肌中IL-6和TNF-α的濃度成反比(圖4C、D)。
H2S生成與抗氧化生物標志物和促炎細胞因子之間的相關性
H2S生成率與T-AOC(R2=0.366,P<0.05)和GSH/GSSG比率(R2=0.453,P<0.01)呈正相關,但與SOD或CAT無關。H2S生成率與IL-6(R2=0.285,P<0.05)和TNF-α(R2=0.367,P<0.05)成反比。
討論
本研究首次證實,皮下注射E2會增加卵巢切除大鼠心肌中CSE的表達和H2S的生成。心肌H2S生成率與血清E2水平呈正相關,這表明雌激素在維持心肌H2S生成方面起著關鍵作用。
我們實驗室和其他實驗室以前的研究表明,糖皮質激素可抑制脂多糖誘導的H2S生物合成和巨噬細胞中CSE的表達。胰島素會降低肝臟中CSE的表達和活性,而胰高血糖素則會增加其表達和活性。本研究首次提供了雌激素可增加體內心肌中CSE表達和內源性H2S生成的直接證據。
氧化應激與各種絕經后心血管疾病的發生有關。雌激素對氧化應激的保護作用已在各種體外和體內模型中得到證實。先前的一項研究表明,雌激素分子中的A環酚羥基賦予了雌激素直接的抗氧化活性。此外,雌激素通過刺激谷胱甘肽過氧化物酶和SOD等抗氧化酶來發揮抗氧化活性。與這些研究結果一致,我們發現E2治療可增加抗氧化生物標志物(T-AOC、GSH/GSSG比率以及抗氧化酶SOD和CAT的活性)。我們還發現血清E2水平與抗氧化生物標志物之間存在正相關,這進一步支持了E2的抗氧化作用。本研究中觀察到的E2與氧化狀態之間的相關性與之前的人體研究結果一致。例如,Serviddio等人的研究表明,正常子宮內膜的血漿E2與谷胱甘肽過氧化物酶活性之間存在正相關。Seino等人的研究報告稱,體外受精-胚胎移植項目中婦女的卵泡液E2水平與積液細胞中的促氧化指數8-羥基-2-脫氧鳥苷呈負相關。然而,雌激素水平是否與患有心血管疾病的婦女體內的促氧化/抗氧化指數相關還需要進一步研究。
雌激素可抑制各種促炎細胞因子和趨化因子的產生。例如,接受雌激素治療的老齡卵巢切除大鼠的心肌細胞中IL-6和TNF-α增加。小劑量雌激素的慢性治療可降低更年期或卵巢切除術引起的細胞因子誘導的中性粒細胞趨化因子、單核細胞趨化蛋白-1和巨噬細胞炎癥蛋白-1α循環水平的升高。Pechenino等人報告說,早期E2治療可預防OVX誘導的促炎細胞因子,如TNF-α,以及誘導型一氧化氮合酶。值得注意的是,人類研究表明,絕經后IL-6升高,而補充雌激素可使循環IL-6水平恢復正常。這些發現與我們的研究結果一致,即E2治療可減少卵巢切除大鼠心肌中IL-6和TNF-α的產生。目前的研究發現,循環E2水平與心肌中IL-6和TNF-α水平成反比,這與下文所述的人體研究結果一致。在患有慢性絲蟲感染的年輕加蓬婦女中發現,血清雌激素與干擾素-F水平之間存在很強的負相關。阿夫扎爾和卡納姆證實,在患有骨關節炎的絕經后婦女中,IL-6與血清雌激素之間存在反相關關系。
H2S最明顯的有益作用是防止氧化應激引起的損傷。H2S是活性氧和過氧化亞硝酸鹽的直接清除劑。外源性給予飽和H2S溶液可增強大鼠心肌線粒體錳SOD的活性,從而減輕氧化應激損傷。本研究發現,心肌中H2S的產生與T-AOC和GSH/GSSG比率呈正相關,但與CAT和SOD活性無關。因此,內源性H2S如何在體內介導抗氧化作用仍有待闡明。不過,我們的數據表明,CSE/H2S系統是心肌中的一種內源性抗氧化應激防御系統。
關于H2S在調節炎癥事件中的作用,存在相互矛盾的數據。例如,Li等人的研究表明,H2S本身會在肺組織中引發炎癥反應,而抑制CSE的活性會產生明顯的抗炎作用,并減輕內毒素誘導的肺損傷。H2S的抗炎作用包括減少中性粒細胞聚集、抑制促炎細胞因子的釋放以及增加抗炎IL-10。在小鼠心肌缺血再灌注模型中,H2S供體可抑制中性粒細胞浸潤和心肌中IL-1β的表達。Sivara-ah等人在大鼠區域性心肌缺血再灌注模型中也報道了H2S的抗炎作用。本研究發現,內源性H2S生成率與心肌中IL-6和TNF-α的濃度成反比,這表明內源性H2S可抑制體內心臟組織的炎癥反應。
自然絕經或手術絕經的婦女失去卵巢周期性分泌的雌激素后,心臟病和中風的發病率較高。動物模型和臨床試驗研究表明,局部或全身的氧化應激和炎癥與絕經后心臟病有關。研究結果還表明,雌激素療法至少部分通過抑制氧化應激和炎癥損傷而產生保護心臟的作用。
長期使用雌激素會產生許多不良影響,如增加罹患乳腺癌和血栓栓塞性疾病的風險。了解雌激素介導的心臟保護機制可能有助于最大限度地降低這些風險。考慮到H2S供體可改善各種心血管疾病,我們的研究結果鼓勵進一步研究如何利用增強的H2S信號作為治療絕經后心臟疾病的策略。
總結
本研究表明,雌激素可增加心肌中CSE的表達和內源性H2S的生成。這種效應與心肌氧化應激和炎癥的減少有關。我們的研究表明,雌激素可能通過上調CSE的表達和H2S的生成來發揮保護心臟的作用。
相關新聞