熱線:021-66110810,66110819
手機:13564362870

熱線:021-66110810,66110819
手機:13564362870
研究簡介:本研究介紹了一種新型的AZ31鎂合金碘-125種子鏈(AMASS),旨在通過產生氫氣來增強實體瘤對碘-125近距離放射治療的敏感性。研究背景指出,盡管碘-125種子植入能有效殺死腫瘤細胞,但腫瘤的放射抗性限制了其療效。氫氣作為一種具有抗癌特性的醫療氣體,能夠增強免疫療法的效果,但在放射治療中的作用尚未充分探索。研究中,AMASS顯示出pH依賴的緩慢釋放氫氣特性和優良的機械性能,能夠通過微創手術植入腫瘤中。體外實驗結果表明,AMASS降解產生的氫氣能顯著抑制腫瘤細胞增殖、增加凋亡、擾亂氧化還原平衡、降低ATP水平,并誘導DNA損傷。在小鼠異種移植瘤和家兔肝臟腫瘤模型中,AMASS與碘-125種子聯合使用顯示出比單獨碘-125種子更優越的治療效果,且無明顯副作用。機制探討發現,氫氣通過調節腫瘤細胞內的ROS水平,破壞氧化還原平衡,促進凋亡。同時氫氣影響線粒體氧化呼吸鏈,導致線粒體膜電位異常和功能障礙,降低細胞內ATP水平,抑制腫瘤生長。此外,AMASS具有均勻的輻射劑量分布和簡單的植入方式,提高了放射治療的均勻性和便捷性。安全性評估顯示,AMASS植入后,家兔的主要器官未顯示出明顯的毒性效應,血清鎂離子水平也沒有增加,表明AMASS植入對家兔的造血功能、肝腎功能或血清鎂離子水平無不良影響。
Unisense微電極測定系統的應用
Unisense微電極系統被用來測量小鼠模型中腫瘤內氫氣的含量。研究中利用Unisense微電極系統直接插入到小鼠皮下移植腫瘤中,以測量和記錄腫瘤內氫氣的濃度。這種方法用來評估AZ31鎂合金管(AMATs)在腫瘤微環境中產生氫氣的能力。通過在小鼠模型中不同時間點(1周、2周和3周后)使用Unisense微電極系統,能夠觀察到隨著時間的推移,AMATs降解產生的氫氣水平的變化。通過比較AMATs組和對照組腫瘤內氫氣水平的差異,研究者能夠評估AMATs產生的氫氣對腫瘤生長和治療效果的潛在影響。而相對電壓差異的變化反映了AMATs降解活性和氫氣產生能力的下降,這與AMATs的物理降解和表面積減少有關。
實驗結果
研究發現AMAT具有適當的剛性和與碘-125種子的良好連接性。更重要的是AMAT可以在溶液中降解產生氫氣,并且氫氣的產生速率與pH值有關。探討了AMAT降解產生的氫氣在增強放射性碘-125種子治療實體瘤中的作用和潛在的分子抗癌機制。在功能上,AMAT降解產生的氫可以與碘-125種子協同作用,抑制腫瘤細胞增殖并促進細胞凋亡。從機制上講,氫破壞了腫瘤細胞中的ROS穩態和MMP,損害了線粒體功能,降低了ATP水平,并阻礙了碘-125輻射誘導的DSB的修復,從而增強了碘-125種子療法在實體瘤中的放射增敏作用。
圖1、新型AZ31鎂合金種子鏈的組裝示意圖和潛在應用。
圖2、AZ31鎂合金管的腐蝕和析氫特性(AMAT)。a)立體顯微鏡和b)掃描電子顯微鏡下腐蝕后不同時間點AMAT的表面特性。c)目視觀察不同pH條件下的析氫能力。d)在胎牛血清(FBS)和DMEM培養基中不同時間點的析氫能力的顯微鏡觀察。e)在不同pH條件下立體顯微鏡觀察析氫能力。f)通過亞甲藍(MB)方法測定pH值為7.3、6.8和5.6時的相對析氫速率。g)不同pH值下AMAT的失重。
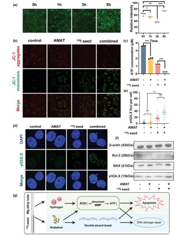
圖3、AZ31鎂合金管(AMAT)增強實體瘤細胞放射敏感性的機制。a)AMAT處理后不同時間點VX2細胞中的ROS水平。b)用AMAT和125I種子處理后VX2細胞的線粒體膜電位。c)用AMAT和125I種子處理后MC38細胞的細胞內ATP水平。d,e)用AMAT和125I種子處理后MC38細胞的γH2A.X水平。f)用AMAT和125I種子處理后VX2細胞的BAX和Bcl-2水平。g)氫近距離放射治療的體外機制圖。
圖4、AZ31鎂合金管(AMAT)對小鼠皮下異種移植瘤的治療效果。a)小鼠皮下腫瘤移植的實驗程序圖。b)小鼠皮下腫瘤植入物中氫的含量的比較AMAT植入后1、2和3周。c,d)小鼠皮下腫瘤的體積。e)腫瘤重量統計圖。f)小鼠皮下移植腫瘤的H&E染色和IHC。
圖5、使用unisesne微電極在小鼠腫瘤內測量氫氣。a)示意圖;b)實物圖片。
結論與展望
放射性碘-125(I-125)粒子植入是一種近距離放射治療技術,可通過X射線和伽馬射線有效殺死腫瘤細胞,在各種實體瘤的一線治療失敗后作為替代治療選擇。然而腫瘤放射耐藥性限制了其療效。氫氣具有抗癌特性,可以增強免疫療法的療效。然而,它在放療致敏中的作用很少被報道。目前的許多氫輸送方法都涉及產氫納米材料,例如鎂基納米材料。本研究介紹了一種AZ31鎂合金碘-125種子鏈(稱為AMASS),具有pH依賴性緩釋氫特性和優異的機械性能。AMASS可以通過微創手術植入腫瘤中,在碘-125種子周圍釋放氫氣。Unisense微電極系統被用來測量小鼠模型中腫瘤內氫氣的含量。通過比較AMATs組和對照組腫瘤內氫氣水平的差異,研究者能夠評估AMATs產生的氫氣對腫瘤生長和治療效果的潛在影響。體外實驗表明,AMASS降解產生的氫顯著抑制腫瘤增殖、增加細胞凋亡、破壞氧化還原穩態和線粒體膜電位、降低三磷酸腺苷水平,并誘導碘-125輻射引起的DNA損傷。氫氣的產生與腫瘤細胞增殖抑制和凋亡增加相關,這表明氫氣可能在調節腫瘤細胞的氧化還原狀態和線粒體功能中發揮作用。在小鼠異種移植和兔肝腫瘤模型中,與單獨的碘-125種子相比,來自AMASS的氫顯示出卓越的治療效果,沒有明顯的副作用。此外AMASS具有均勻的輻射劑量分布和簡單的植入。因此來自AMASS的氫增強了碘-125粒子的療效,支持碘-125粒子植入在癌癥治療中的進一步推廣和應用。
相關新聞