熱線:021-66110810,66110819
手機:13564362870

熱線:021-66110810,66110819
手機:13564362870
快速吸收分子氧的材料(稱為除氧劑或脫氧劑(DOA))具有許多工業應用,例如:食品保藏、金屬防腐蝕和煤脫氧。由于氧對癌癥生長至關重要,所以通過消耗腫瘤內氧氣的饑餓療法是治療癌癥的潛在有效策略。本論文研究了如何應用注射聚合物改性硅化鎂(Mg2Si)納米粒子,用于清除腫瘤中的氧氣并形成副產物阻止腫瘤毛細血管再氧化。相關研究結果表明在酸性腫瘤微環境中,Mg2Si釋放出的硅烷可以有效地與溶解組織和血紅蛋白結合的氧三者反應形成二氧化硅(SiO2)聚集體,并且這種原位構造的SiO2會阻斷腫瘤毛細血管并防止腫瘤接受新供應的氧和營養物。
微電極的應用
應用了Unisense氧氣微電極測試了老鼠體內靜脈中血液中的氧氣濃度以及老鼠體內腫瘤組織的氧氣濃度。其中老鼠靜脈血液是從老鼠尾靜脈抽出20ul的靜脈血液后,并立馬進行血液中氧氣濃度的測試。而老鼠體內的各個器官組織氧氣濃度是通過使用氧微電極穿刺測試得到的。
實驗結果
通過注射聚合物改性的硅化鎂納米粒子,可以充當DOA清除腫瘤中的氧氣并形成副產物阻止腫瘤毛細血管再氧化。納米顆粒的制備是利用自蔓延高溫合成方法實現的。在酸性腫瘤微環境中,Mg2Si釋放出的硅烷可以有效地與溶解組織和血紅蛋白結合的氧三者反應形成二氧化硅(SiO2)聚集體。這種原位構造的SiO2會阻斷腫瘤毛細血管并防止腫瘤接受新供應的氧和營養物。
圖1、使用除氧化劑硅化鎂-聚乙烯吡咯烷酮溶液進行癌癥饑餓療法的原理示意圖,從圖中可以看出通過注射的方式,硅化鎂-聚乙烯吡咯烷酮溶液進入動物體內血管后,酸性腫瘤微環境中,硅化鎂(Mg2Si)納米粒子,充當DOA清除腫瘤中的氧氣并形成副產物(二氧化硅)阻止腫瘤毛細血管再氧化。
圖2、測試老鼠活體的體內組織在不同時間以及不同距離內的氧濃度裝置圖。
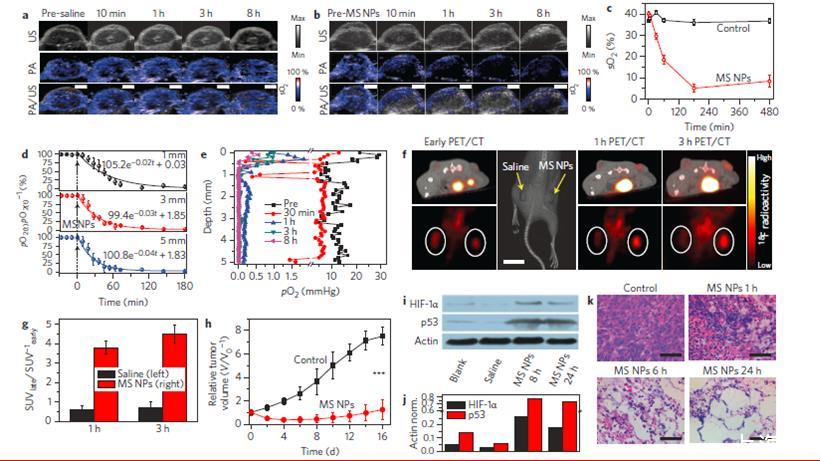
圖3、圖a表示的是老鼠體內移植的腫瘤內注射二氧化硅溶液的影像圖,圖b指的是老鼠體內移植的腫瘤注射硅化鎂-聚乙烯吡咯烷酮溶液的影像圖。圖c表示的是注射和未注射硅化鎂聚乙烯吡咯烷酮溶液的老鼠體內腫瘤的血氧飽和度隨時間的變化情況。圖d指的是老鼠腫瘤內的不同距離處溶解氧濃度隨時間的變化分布情況,圖e表示的是腫瘤內不同時間段的氧分壓分布情況的剖面分析。圖f指的是老鼠體內注射硅化鎂-聚乙烯吡咯烷酮溶液后的老鼠腫瘤的影像分布圖。圖g表示的是老鼠體內注射硅化鎂-聚乙烯吡咯烷酮溶液和注射生理鹽水的影像SUV比值的對比。圖f表示的是老鼠體內注射硅化鎂-聚乙烯吡咯烷酮溶液,其體內腫瘤體積大小隨時間的變化情況。
圖4、圖a表示的是使用硅化鎂-聚乙烯吡咯烷酮溶液作為除氧劑作用的原理圖。其具體操作是應用一個含有硅化鎂-聚乙烯吡咯烷酮溶液的開口微量離心管,將該微量離心管置于含有細胞的培養皿中,體系動態平衡過程中,培養基中溶解氧會不斷的解吸附并釋放出氣體氧會迅速的與微量離心管中的去氧劑進行脫氧反應,從而引起培養基中的氧氣迅速消耗。圖b指的是培養皿體系中加入不同濃度的硅化鎂-聚乙烯吡咯烷酮溶液,微量離心管中的氧氣濃度水平隨時間的變化情況。圖c指的是培養皿體系中加入不同濃度的硅化鎂-聚乙烯吡咯烷酮溶液后,培養基中的氧氣濃度水平隨時間的變化情況。
圖5、a)MS-NPS(硅化鎂-聚乙烯吡咯烷酮)分散在不同pH緩沖體系(平衡溶解氧濃度是8mg/L)中數碼。b)表示的是在兩種不同pH環境中,加入脫氧劑MS NPS后,體系中的氧氣濃度隨時間的變化情況。c)表示的是使用動態光散射儀測試不同pH緩沖體系中MS-NPS的粒徑分布情況。從圖b中可以看出,在弱酸性環境中,脫氧劑能夠快速的消耗緩沖體系中的氧氣,而在中性偏弱堿性環境體系中,體系中的氧氣濃度幾乎不變。
圖6、酸化的DMEM營養基中(pH=6.5)加入不同濃度(0 mM、2mM、5mM、10mM)的脫氧劑MS-NPS后,體系中氧氣濃度隨時間的變化情況。從圖中可以看出,脫氧劑MS-NPS加入會引起體系中的氧氣濃度迅速降低,在30分鐘后,體系中的氧氣濃度就處于平衡了,而脫氧劑MS-NPS的濃度越大,體系中的氧氣濃度越小。但是當脫氧劑濃度增加到一定濃度時(10mM),其氧氣濃度就幾乎不變了。
圖7、在不同pH(4.5(a)、6.5(b))環境下,老鼠體內注射硅化鎂-聚乙烯吡咯烷酮溶液(MS NPs)后,MS NPs與腫瘤血管內的氧氣進行反應時,老鼠腫瘤體內的氧氣消耗以及鎂的釋放濃度隨時間的變化情況。插圖表示的是使用MS NPs后氧氣消耗率以及鎂的釋放率隨時間的變化分析。
圖8、昆明小鼠中注射高劑量MS NPs(100mg/L)和未注射MS NPs不同組織器官(心臟、肝、脾臟、肺、)的在不同時間段微表面氧分壓剖面分析圖。從圖中可看出,老鼠各器官組織中的氧分壓值未出現較大的波動。
總結
相關研究表明血管生成在腫瘤的生長與轉移中具有重要作用。腫瘤的生長是血管依賴性的,一般當腫瘤直徑超過2cm時,必需要有新生腫瘤血管生成,否則腫瘤將會因營養不足而壞死、停止生長。這也說明抗腫瘤血管生成已成為治療惡性腫瘤的一種新思路。本論文研究了一種快速吸收分子材料(除氧劑),并將其應用于饑餓癌癥療法中,成為治療腫瘤一種新的思路。氧對癌癥生長至關重要,所以通過消耗腫瘤內氧氣的饑餓療法是治療癌癥的潛在有效策略。具體方法使用一種硅化鎂的納米粒子注入到老鼠體內,硅化鎂納米粒子能夠與腫瘤中的氧氣迅速反應。實驗中使用了unisense氧微電極用于原位的測試老鼠靜脈血液以及腫瘤組織中的氧氣濃度實現了對于老鼠體內的氧氣濃度的在線監測,從而提出了基于硅化鎂納米粒子能夠清除腫瘤中的氧氣并形成副產物阻止腫瘤毛細血管的再氧化并抑制腫瘤毛細血管接受新供應的氧合和營養物的理論,這說明unisense氧微電極在醫學腫瘤學方面存在著很好的應用價值。
本文來自:微電極研究系統應用于腫瘤癌癥治療領域 文章中論文四的擴展。
相關新聞