熱線:021-66110810,66110819
手機:13564362870

熱線:021-66110810,66110819
手機:13564362870
摘要:本文的研究背景主要圍繞細胞凋亡與硫化氫(H2S)在維持免疫穩態中的作用,以及它們在系統性紅斑狼瘡(SLE)等自身免疫性疾病中可能扮演的角色。細胞凋亡是成年人體內每天發生的自然現象,超過500億個細胞通過這一過程來維持組織和器官的穩態。細胞凋亡不僅對組織修復和發育至關重要,而且通過清除受損或老化的細胞,防止了潛在的自身免疫反應。然而,細胞凋亡的異常可能導致多種疾病,包括自身免疫疾病、衰老和癌癥。
系統性紅斑狼瘡(SLE)是一種典型的自身免疫性疾病,其特征是體內存在大量Th17細胞,這些細胞在血液循環和組織中的異常增多與組織炎癥和器官損傷有關。SLE的確切病因尚不完全清楚,但已知遺傳、環境因素和免疫調節失衡在其發病機制中起著重要作用。
硫化氫(H2S)是一種內源性的氣體信號分子,由L-半胱氨酸通過幾種酶的作用在體內合成。H2S在調節組織穩態中起著關鍵作用,并且與T細胞相關的免疫障礙有關。H2S通過一種稱為蛋白質硫化氫化的過程發揮作用,這是一種蛋白質翻譯后修飾,通過將目標蛋白上的半胱氨酸殘基上的巰基(-SH)轉化為羥基硫化物(-SSH),改變蛋白質的結構和功能。
盡管H2S和細胞凋亡的缺乏都會導致嚴重的免疫障礙,但細胞凋亡過程是否與內源性H2S的產生有關尚不清楚。此外,凋亡細胞釋放的代謝產物能否對生理功能產生影響,以及這些代謝產物如何影響免疫反應的細節也未被充分理解。因此,研究細胞凋亡與H2S產生之間的關系,以及它們如何共同影響免疫穩態和SLE等自身免疫性疾病的發展,對于理解這些疾病的病理機制和開發新的治療策略具有重要意義。
主要內容
本文的研究揭示了細胞凋亡與內源性硫化氫(H2S)在維持免疫穩態中的重要作用,并闡明了H2S在調控Th17細胞分化中的獨特角色。研究發現,細胞凋亡缺陷的小鼠模型(MRL/lpr和Bim-/-)表現出H2S水平顯著降低,同時伴隨著Th17細胞異常分化,這種異常分化可以通過補充H2S得到恢復。研究還發現,凋亡細胞和凋亡小體(apoVs)表達關鍵的H2S生成酶,并產生大量H2S,表明凋亡代謝是H2S的一個重要來源。
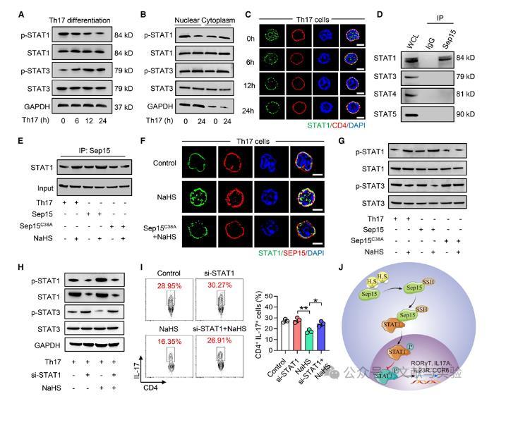
在分子機制方面,H2S通過硫化氫化硒蛋白F(Sep15)來促進信號轉導和激活轉錄因子1(STAT1)的磷酸化,并抑制STAT3的磷酸化,從而導致Th17細胞分化的抑制。此外,研究還發現,通過誘導細胞凋亡可以提高MRL/lpr小鼠體內的H2S水平,并且這種增加的H2S水平對于改善SLE表型是必需的。
凋亡細胞釋放的凋亡小體(ApoVs)能夠產生硫化氫(H2S),這一發現揭示了凋亡細胞在調節免疫微環境中的積極作用,并為自身免疫性疾病的治療提供了新的策略。
在對凋亡細胞與硫化氫(H2S)關系的深入研究中,科學家們發現了一種新的H2S來源——凋亡細胞釋放的凋亡小體(ApoVs)。ApoVs是凋亡細胞在程序性死亡過程中釋放到細胞外的小囊泡,它們攜帶有多種生物分子,包括蛋白質、RNA和DNA,能夠影響鄰近細胞和組織的功能。以往的研究已經表明,ApoVs在調節免疫反應和促進組織修復中起著重要作用,但它們是否參與H2S的產生尚不清楚。
通過對ApoVs的分析,研究人員發現這些小體表達了H2S生成的關鍵酶,包括胱硫醚β-合酶(CBS)、胱硫醚γ-裂解酶(CSE)和3-巰基丙酸硫轉移酶(3-MST)。使用微電極檢測法,研究人員證實了ApoVs具有產生H2S的能力,并且這種產生H2S的過程可以被H2S合成抑制劑羥胺鹽酸鹽(HA)和丙基甘氨酸(PAG)所抑制。此外,研究人員還發現,來自CBS或CSE基因敲除的mBMSCs的ApoVs產生的H2S水平顯著降低,這進一步證實了ApoVs在H2S產生中的作用。
研究人員還探討了ApoVs產生的H2S對系統性紅斑狼瘡(SLE)小鼠模型的影響。通過向MRL/lpr小鼠注射ApoVs,研究人員觀察到SLE的表型得到了顯著改善,包括脾臟和淋巴結腫大的減輕、血清中ANA、BUN和dsDNA水平的降低、腎臟損傷的緩解以及腎臟和皮膚中IgG沉積的減少。然而,當使用H2S合成抑制劑處理ApoVs時,這些治療效果被抵消,表明ApoVs產生的H2S對于治療效果至關重要。
此外,研究人員還發現,ApoVs能夠通過硫化氫化作用影響Th17細胞的分化。Th17細胞是與SLE等多種自身免疫性疾病密切相關的T輔助細胞亞群。ApoVs產生的H2S通過硫化氫化Sep15,進而調節STAT1和STAT3的活性,從而抑制Th17細胞的異常分化。
進一步的研究還表明,H2S通過Sep15/STAT1/STAT3信號軸抑制Th17細胞分化。具體來說,H2S能夠促進Sep15與STAT1的相互作用,從而促進STAT1的磷酸化和核定位,而STAT1的活化又抑制了STAT3的磷酸化,進而影響了Th17細胞的分化。
最后,研究還發現,凋亡細胞來源的H2S對于治療系統性紅斑狼瘡(SLE)具有潛在的療效。通過向MRL/lpr小鼠系統性注射凋亡細胞來源的外泌體(apoVs),可以減輕SLE的表型,包括減少脾臟和淋巴結的重量、降低血清中ANA、BUN和dsDNA的水平、減輕腎臟損傷,并抑制腎臟和皮膚中的IgG沉積。這些發現表明,凋亡細胞產生的H2S在調節免疫反應和治療自身免疫性疾病中可能發揮重要作用。
綜上所述,本文的研究不僅揭示了細胞凋亡與H2S生成之間的聯系,還闡明了H2S在調控Th17細胞分化中的分子機制,并為SLE等自身免疫性疾病的治療提供了新的視角和潛在靶點。
相關新聞